DVT UNTERSUCHUNG BEI IHREM ZAHNARZT DDR. MÜLLER IN 4061 Pasching
DDr. Müller ist Ihr kompetenter und erfahrener Zahnarzt in Sachen digitaler Volumentomographie. Gerne sind wir auch für Patienten aus Linz und Linz-Land da.
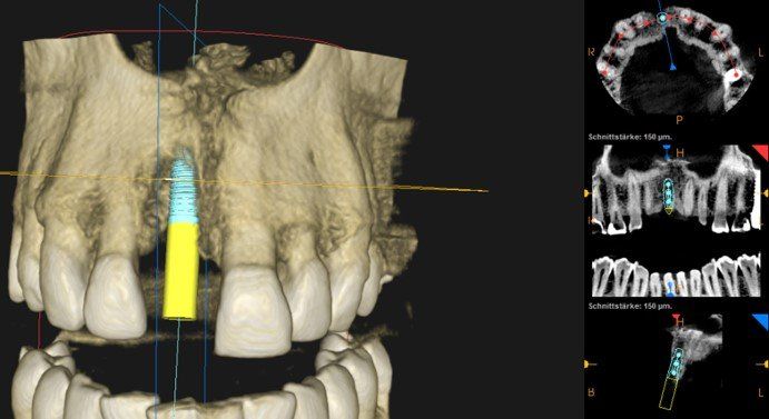
DVT - 3D Röntgen Diagnostik und Therapie
Die DVT wird in der Zahnheilkunde vornehmlich zur Operationsplanung von Knochenzysten, zum Setzen von Implantaten und der Entfernung von Weisheitszähnen verwendet. Weiter kommt die Aufnahmetechnik für die Beurteilung der Kieferhöhlen und für den Knochenaufbau in Frage.
Mittlerweile wird sie auch in der Traumatologie, Oral- bzw. Kieferchirurgie, Endodontie (Wurzelbehandlungen), Kiefergelenksbehandlung und Parodontologie (Zahnfleischbehandlung) eingesetzt. Damit können Non-Invasiv die genauen Lagebeziehungen von kompliziert retinierten (Weisheits-)Zähnen, etwa zum Canalis mandibulae oder zur Kieferhöhle, genau bestimmt werden. In der zahnärztlichen Chirurgie wird die DVT vorwiegend zur Diagnostik von knöchernen, dento-maxillo-facialen Strukturen eingesetzt. Mögliche Indikationen sind Alveolarfortsatzfrakturen und knöcherne pathologische Veränderungen wie z. B. odontogene Tumoren und größere periapikale Läsionen.
Wir unterstützen Sie mit der genauen Planung zahnmedizinischer Eingriffe und technischen Versorgungen.
- anhand der 3. Dimension durch die DVT Röntgenaufnahme können wir mit Ihnen die Fragestellung besprechen.
- bereits vor dem Eingriff kann die zahntechnische Versorgung geplant werden und das Ergebnis dargestellt werden.
- zusätzliche chirurgische Eingriffe wie ein Knochenaufbau können vermieden werden und dadruch eine Operation und Kosten gespart werden.
- die Möglichkeit der interdisziplinären Diagnostik und Zusammenarbeit mit anderen Fachgebieten wie z.B. HNO, KFO und Orthopäden.
Gerne beantworten wir alle Ihre Fragen – vereinbaren Sie einen Termin!
Ihr Zahnarzt für chirurgische Eingriffe - DDr. Müller in 4061 Pasching




